ライク・ベッセル(血管穿刺モデル)用キット
“リアルを追求した”穿刺トレーニングキット
【定価】ライク・ベッセル用キット:66,000円(税込) ライク・ベッセル(血管穿刺モデル):5,500円(税込)
※お届けはご注文より1週間程度
臨床に近い穿刺を実現化させた血管穿刺のトレーニングキット
【3つの特徴】
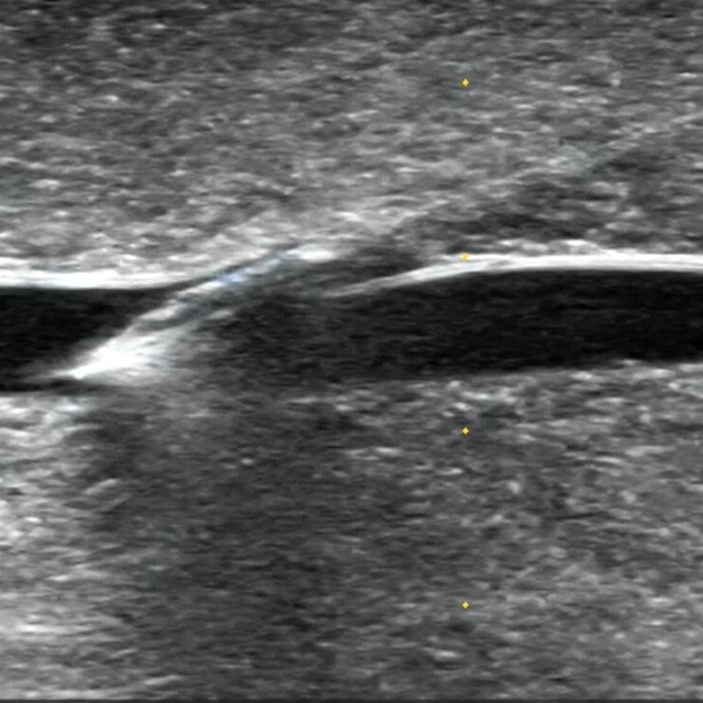
①エコー下穿刺・ブラインド穿刺どちらもトレーニング可能!鮮明なエコー画像でより臨床に近い穿刺を体感いただけます
②血管穿刺時の穿破感覚がリアル!外套(カニューラ)の留置、逆血確認もできます
③植物由来で衛生的!使用後は一般ごみ(生ごみ)として廃棄していただけます
【ライク・ベッセル用キットの内容】
○腕模型
○専用三脚
○100ccシリンジ
○血液バッグ 2個
○専用アタッシュケース
※消耗品(ライク・ベッセル)は別売りになっております
※お届けはご注文より1週間程度
臨床に近い穿刺を実現化させた血管穿刺のトレーニングキット
【3つの特徴】
①エコー下穿刺・ブラインド穿刺どちらもトレーニング可能!鮮明なエコー画像でより臨床に近い穿刺を体感いただけます
②血管穿刺時の穿破感覚がリアル!外套(カニューラ)の留置、逆血確認もできます
③植物由来で衛生的!使用後は一般ごみ(生ごみ)として廃棄していただけます
【ライク・ベッセル用キットの内容】
○腕模型
○専用三脚
○100ccシリンジ
○血液バッグ 2個
○専用アタッシュケース
※消耗品(ライク・ベッセル)は別売りになっております
| 生産地 | 日本 |
|---|
0120-310-351
受付時間:9:00~17:30(土日祝日を除く)